Welcome to our Smile Gallery! Below are some of the cases that we have conducted for a few of our patients.
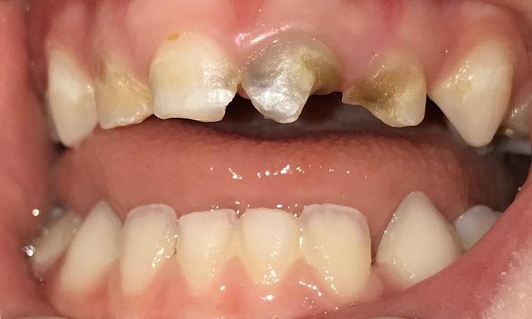
Before
After
White Crowns
Pediatric white dental crowns are an alternative to stainless steel crowns for kids teeth. Dr. Briney received additional training through Sprig, the makers of the crowns, in 2015 and she has been placing them since. These pediatric white crowns are made of zirconia and look like a natural tooth! These white crowns can be done on the front teeth or the back teeth. Schedule a consultation with Dr. Briney to see if your child is a good candidate for a white crown!